ALGUNOS CONCEPTOS PREVIOS.
RIS / PACS: Los Sistemas de Información Radiológica (RIS) asociados a los PACS (Picture Archiving and Communications System), también denominados sistemas de gestión de imagen médica, son uno de los mayores avances tecnológicos aplicados a la salud. Ofrecen a corto plazo, de forma muy rápida y sencilla importantes mejoras y ahorros. Por no hablar de otros beneficios como los medioambientales. Mediante la centralización de las imágenes médicas de diferentes tipos y orígenes, como radiología convencional, TAC, ecografía, resonancia magnética, patología, etc., en servidores PACS y empleando los formatos estándares del sector: DICOM
Aunque en este segmento existen multitud de proveedores, la mayoría muy relacionados con el hardware de cada uno de los fabricantes, la gran ventaja que presenta este campo es que casi todas las máquinas de imagen médica trabajan con el estándar DICOM. Por lo que es muy sencillo y rápido comprobar los significativos avances que se alcanzan implantado un RIS: Sistema de Información Radiológica en un servidor PACS.
Hasta hace no tanto, las imágenes radiológicas se volcaban en costosas placas, que no solo requerían importantes desembolsos económicos en insumos y materiales, también impedía que fuesen escalables de forma asumible. Por no hablar del tiempo que había que esperar a que los exámenes fueran evaluados o que los mismos no podían ser consultados por varios especialistas simultáneamente.
La Sociedad de Radiología Norte Americana (RSNA) estima en un 25% el número de estas placas que se han de repetir por pérdida o deterioro. Esto no sólo conlleva un enorme gasto, pérdida de tiempo (que puede ser vital para el diagnóstico y tratamiento) sino también en ocasiones exceso de radiación innecesaria al paciente.
BENEFICIOS
Las ventajas de la implantación de sistemas de imagen radiológica son notables, entre otras:
- Reducen el coste del soporte, en algunos casos hablamos de millones de dólares.
- Reducen los costes operativos de manipulación, pues estas placas ya no son necesarias almacenarlas de forma física, gestionarlas, transportarlas, etc.
- Se evitan pérdidas o deterioros en el almacenamiento de las mismas.
- Se produce una notable mejora en la prestación del servicio ya que la máquina que nos realiza el “escaneado” automáticamente vuelca el resultado al servidor PACS, y la imagen es consultable en tiempo real, de forma simultánea (por ejemplo varios especialistas ubicados en diferentes ubicaciones físicas -ha surgido además ahora la figura del teleradiólogo-) y siempre accesible (no depende de que debamos llevarla consigo.
- Es ecológico ya que no se necesitan las contaminantes placas radiológicas, ni tratarlas, ni almacenarlas, ni producirlas permitiendo además, que puedan consultarla varios especialistas y que se pueda consultar un histórico de forma sencilla y sin dependencias.
COMPONENTES BASE DE LA SOLUCIÓN.
La radiología digital no es reciente, pero si las significativas ventajas de hacerlo con software libre. Por eso, cada día son más centros hospitalarios los que usan este tipo de soluciones. Hablamos de una instalación que en líneas generales está conformada por lo siguientes componentes:
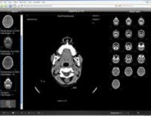
- Servidor PACS: Almacenamiento de imágenes radiológicas en un servidor PACS usando el estándar DICOM. Tanto a nivel de comunicaciones como de formato de las imágenes alojadas en los servidores PACS. Al final es un software que corre sobre una computadora potente o servidor. Almacena las imágenes médicas y las sirve a petición, tanto a estaciones de trabajos como a visores.
- Visores DICOM para las imágenes almacenadas en los servidores PACS a través de los cuales los facultativos pueden evaluar y diagnosticar a los pacientes desde la estación clínica. Si la estación clínica se encuentra diseñada para la utilización en la nube, se añade el concepto de telemedicina.
Igualmente aparecen soluciones como la de reconstrucción 3D para resonancia magnética y tomografía computarizada.
En resumen, se trata de almacenar las imágenes radiológicas, que estas ocupen el menor espacio posible, sobre todo que no “pesen” mucho para poder ser visualizadas desde diferentes visores (webs o en estaciones de trabajo). Sin pérdida de calidad para que posteriormente los radiólogos o teleradiólogos así como el resto de especialistas médicos que lo deseen, puedan realizar consultas sobre las imágenes con una calidad “diagnóstica”, evitando el empleo de las anticuadas placas radiológicas, que además de costosas y contaminantes, demandaban recursos para su conservación, manipulación, almacenamiento, transporte, etc.
INFRAESTRUCTURA NECESARIA
Los sistemas de información radiológica tienen por el contrario, algunos obstáculos que vencer, como por ejemplo:
- Elevados costes de adquisición de licencias.
- Cautividad de cada una de las soluciones por parte de los fabricantes.
- Demanda una elevada de infraestructura para su correcto funcionamiento.
- No permite telemedicina.
- No incluyen elementos para el trabajo en equipo ni reflejan la organización ni los procedimientos internos de cada organización.
En Healthpoint hemos desarrollado una una plataforma tecnológica open source de última generación denominada S-PACS para el cuidado de la salud que simplifica el tratamiento de imágenes por diagnóstico agrupando los procedimientos relacionados con RIS+PACS en una arquitectura SOA colaborativa empresarial que modela toda la actividad de los profesionales sanitarios a través de workflows definibles e intuitivos y que ofrece una visión empresarial a través de cuadros de mando y herramientas de inteligencia de negocio.





